Aligners
Embrace A Beautiful Straight White Smile

Prescribed by your dentist, Aligners are clear aligners that have been developed specifically for aligning your teeth in a predictable, smooth and comfortable manner. Instead of metal brackets, wires or screws, you’ll be wearing a clear, high quality plastic material to achieve your desired results – while going unnoticed by the people around you.
Aligners work on basic orthodontic principles. They are used for the correction of crooked teeth, gaps or rotation, while achieving the desired results in an organised and planned fashion. These customised trays are “invisible” and move the teeth in the desired direction. This is achieved through wearing a series of Aligners, each for 22 hours a day, 1 to 2 weeks at a time (one stage), which move the teeth per stage until their optimal alignment has been reached.

Aligners In 4 Simple Steps:
Book your Consultation
Book a consultation with our patient care co-ordinator to discuss the process.
Smile Simulation
Attend a scan appointment for your smile simulation.
Start your smile journey
Once you and your dentist has approved your case, your Aligners will be ready for collection in approximately 3 - 4 weeks and you can begin treatment.
Keep smiling
Wear your Aligners as per your dentists instructions. After your Aligner journey, it’s important to wear the included retainers to hold your new smile in place.

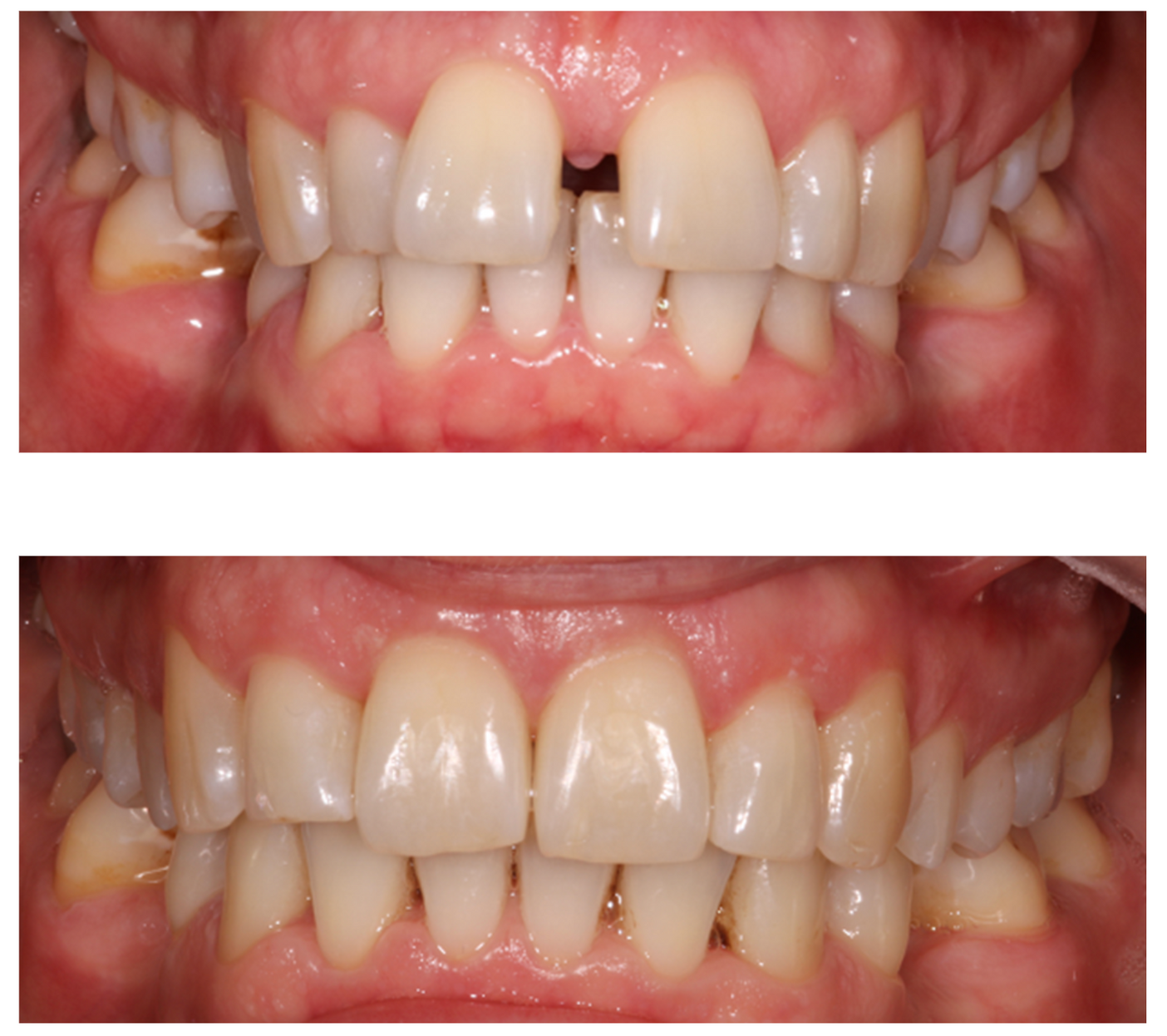
Aligner Results: Love Your Smile



Aligner Costs
| Treatment / Service | Price |
|---|---|
| Consultation with Julie | Free |
| Scan and Simulation | £100.00 (deducted from treatment fee if you proceed) |
| Mild Case – Single Arch | £2,460 |
| Mild Case – Dual Arch | £2,995 |
| Moderate Case – Single Arch | £3,200 |
| Moderate Case – Dual Arch | £3,695 |
| Advanced Case – Single Arch | £3,500 |
| Advanced Case – Dual Arch | £3,995 |
| Replacement Aligner | £85 per arch |
| Replacement Retainers | £85 per arch |
| Additional Refinement | From £250 |
| Single Fixed Retainer (including one removable retainer) | £190 |
What’s Included Complimentary:
- OPG (X-Ray)
- Tooth Whitening
- Hygienist Visit (if needed)
- 2 x Retainers
Worth £747
Please Call Us To Book A Consultation:
01986 873001
Aligner FAQ’s
Start Your Journey To Straighter Teeth By Getting In Contact With Us Today!
Make An Enquiry
Make An Appointment
About Our Practice
Here's What Makes Us Different

Professional Oral Health Educators

Detailed Consultations for All Services
We Go That Extra Mile For Your Perfect Smile

Timely and Considerate Service
Dental Treatments
As a private general dentist, we work with patients of all ages. From children to seniors, we provide just about all of the dental and oral health care that you require.
Dynamic Dental Studio uses Boutique Whitening and Colgate Luminous teeth whitening systems to help you bring back your smile.
Active Aligners
Active Aligners straighten your teeth effectively. Constructed from a superior, transparent plastic material, eliminating the need for metal brackets, wires or screws. These aligners are practically invisible, providing you with the ability to wear them unnoticed by others.
Hygienist
It’s recommended that you have professional teeth cleaning and exam at least twice a year.
Dental crowns are tooth-coloured and -shaped caps that are fitted over an existing tooth in order to protect the tooth in question and improve overall oral health.







